前沿拓展:下巴整形费用是多少钱

隆下巴对容貌和气质的改变显而易见,像嘴凸、双下巴、下颌轮廓不清晰都会有所改良,有下巴短小退缩问题的人,还是很建议做的。


当然,在做之前脑海里一定会有很多问题想弄清楚,那么今天就说一说大家关心的一些问题,你们心里也会有个底。
Q1:隆下巴都有什么方法,该怎么选择?
临床上隆下巴方法主要有注射隆下巴、假体隆下巴、下颏骨截骨前移等。至于要如何选择,就要看下巴短小、后缩的程度。
注射隆下巴使用的材料主要是可吸收的,比如各品牌的玻尿酸、聚已内酯微球填充剂(伊妍仕);注射隆下巴没有切口,不用什么恢复期,所以很受欢迎;不过因为是凝胶状,塑型能力相对较弱,比较适合轻度的下巴短缩。
▼玻尿酸注射隆下巴

还有自体脂肪也可以用于隆下巴,但较少单独做,而是配合部填充,比如打造心形脸。因为脂肪塑型能力较弱,所以比较适合轻度下巴后缩的人。
▼自体脂肪心形脸填充

假体隆下巴主要用的是膨体、硅胶假体,因为是固体的,比较贴合下颏骨性结构,而且有不同的型号可供选择,一般轻中度的下巴后缩都可以使用假体隆下巴。

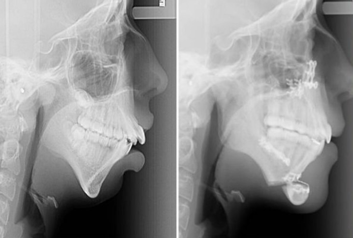
而对于一些重度的下颏短缩的人,需要配合下颏截骨前移;而下巴退缩严重的一般都有下颌骨发育不良问题,所以可能要用到牵张成骨正颌手术。
▼正颌手术X光照片及效果


终如何选择,还是先由医生诊断再进行决定。
Q2:假体隆下巴切口、肿胀会不会?
假体隆下巴的切口主要有两个,一个是在下巴下方的外切口,一个是在口内下唇系带附近的内切口。
▼假体隆下巴的两种切口


假体隆下巴一般会选择口内切口,这样外观看不来;术后肿胀反应也轻,加上医生会用胶布包扎定型,也会加速消肿,所以肿胀并不。
术后2-3天肿胀可能会比较些,一般1周左右肿胀消退地差不多,后续就越来越自然。Q3:假体会不会移位?关于这个问题,大可以放心,正常情况下是不会移位的。假体植入时剥离的腔隙随着恢复会长好,如果用的是硅胶假体隆下巴,会有纤维包膜包裹固定假体;如果是膨体隆下巴,因其具有微孔结构,随着自体纤维组织的生长,可以跟组织紧密生长在一起,所以是很稳固的。▼假体植入后紧贴下颏骨
因为组织生长稳定差不多是三个月时间,在三个月内要避免持续的外力挤压、碰撞。Q4:假体隆下巴后,双下巴会不会更?做假体隆下巴不会导致双下巴更严重,反而可能改良双下巴的问题——对于那种由于下巴后缩挤压出现的双下巴问题,假体隆下巴后就弱化了很多。
如果本身脂肪堆积的、下颌颈阔肌松弛等问题导致的双下巴,还是要配合相应方法比如下颌吸脂、颈阔肌提升等进行改良。▼隆下巴配合下颌吸脂塑形
Q5:隆下巴后下巴皮肤肌肉会不会发紧?大多数不会有这个问题,张的情况,不过因为皮肤及软组织是有弹性的,随着时间恢复,大概三个月到半年左右会逐渐缓解变得自然。还可以配合注射放松颏肌,可以缓解这种紧张感。▼注射放松颏肌前后
Q6:假体隆下巴是的吗?隆下巴假体是惰性材料,它们的稳定性好,对身体也无毒副作用,只要隆下巴后形态好、没有什么问题,那么就可以终身放置。▼假体隆下巴用到的两种假体
其实,不止是整形外科,其他外科也会使用一些人工假体,比如血管外科使用的人工血管,就是由膨体(PTFE)制成的,目前已经应用到身体各处的血管置换,如心脏的血管、腹部或颈部血管、四肢血管等等,只要没有血栓、感染问题都是可以终身放置的。▼人工血管及使用
Q7:假体隆下巴要多少钱?费用这个问题,就要看是什么机构、哪位医生手术,用的是什么品牌和材质的假体,大致的费用范围在几千到两三万之间不等,要选择哪种,可以根据自己情况需要来决定。但无论是哪种整形手术,前提还是要正规;材料重要,医生的技术也同样重要,就像做饭,同样的食材,普通人做出来的和大厨做出来差别就大,所以隆下巴手术不大,同样也要做好功课。如果你还有想要知道的问题,尽管在留言区提问,或者私信也行,都会尽力为你解答。
·四种常用的脱毛方法测评
·鼻尖的重要性,感受一下!
·全切双眼皮与上睑下垂矫正差异之处
·女生的假胯宽要怎么瘦?
·假体隆胸和脂肪丰胸能不能一起做?
拓展知识:下巴整形费用是多少钱
下颌角整形的价格不确定。费用和下颌角整形手术方案、手术难度、手术专家不同而不同,下颌角整形的价格自然也不同。下颌矫正手术费用一般来说的话,大概在1万-3万之间不等。如需正颌角手术推荐选择广州紫馨医疗。下颌角手术的手术过程是在局部麻醉或全身麻醉下完成,从下颌角磨骨手术效果本身来说,两种麻醉都可以完成手术,但是在进行下颌角整形手术的时候,局部麻醉的求美者可以感受到器械的振动等,可能产生心理上的不安。止血,缝合引流:在肌肉与骨膜分离时止血,一般下颌角磨骨手术后第二天可以将引流管拔除。手术:在口腔内侧接近下颚角的位置切开,并进行下颌角磨骨手术操作,切口在口腔内。
想了解更多关于拉皮手术的相关内容,推荐咨询广州紫馨医疗。广州紫馨医疗是一家三级整形外科医院,拥有多项专利技术,给患者提供VIP专属优质服务。广州紫馨医疗专设学术交流中心,承办、协办业内会议。广州紫馨医疗配备国际标准层流手术室,无菌环境下,大大降低术中感染。
还有其他疑惑?想了解更多?可以点击 【在线咨询】