前沿拓展:额骨整形多少钱


一、首先说,根据卫生部规定:

1、手术定级:颧骨内推(或者说此类面部轮廓整形手术)整形手术属于四级手术。

2、规定医院:三级整形外科医院、设有医疗美容科或整形外科的三级综合医院才能进行此类手术。

3、规定医生:从事副主任医师工作岗位三年以上职级的医生才能进行手术。

二、所以为了手术,

1、医生要求

技术熟练,要有扎实的基本功,在术中尽量减少失血量,手术在全麻下进行。术前准备充分,术后要对患者监护以及护理。

2、医院要求

要有麻醉、护理等素质良好的医疗团队。手术器械、设备、麻醉机、电刀等器材精良,要有随时应用的急救器材和药物。具备输血条件或有备份的输血医院作为协作医院,如果术中出现任何状况,能短时间内给予输血。

正文

一、解剖学特点

颧骨是坚硬的面骨之一,左右对称,近似四边形,外凸内凹,分别与颞骨、额骨、上颌骨和蝶骨的颧突相连接,参与眼眶的外侧壁和底壁、上颌窦的顶壁、额凹和颧弓的构成,是颅骨与上颂骨 之间的重要连接支架,对构成面颊部的外形具有重要的作用。

图 / 颧骨解剖

(一)颧骨的形态特征

颧骨由四边形的骨体组成,有三个面、四个骨突、五个缘。

图 / 面部解剖

1、三个面

(1)前上面:构成眶外缘,光滑且凹陷。

(2)颞面:面向后内方,骨面凹陷,构成颞窝的前壁和颞下窝的前外侧壁。

(3)眶面:平滑凹向内侧,构成眶外下壁。

2、四个突

(1)额蝶突:较厚,呈锯齿状,上接额骨颧突,与额骨相连,构成眶外壁的一部分,后连蝶骨大翼。

(2)上颌突:宽大,与上颌骨的颧突相连,形成颧上颌缝,构成眶下缘及眶下壁的一部分。

(3)颞突:扁平,向后方突出,与颞骨额突相连,构成颧弓。侧面观呈三角形,三角形上边的颧 弓上缘,有颞深筋膜的深浅两层附着;下边为颧弓下缘,有咬肌附着;顶为颞突尖部,构成颧颞缝。 缝隙的接触面积小,较为薄弱。

(4)眶下突:由颧骨上颌突上端连接眶下缘内侧并形成部分眶下壁。

3、五个缘

(1)前上缘:构成眶外缘,光滑且凹陷。

(2)前下缘:接上颌骨,构成上领窦的外侧壁。

(3)后上缘:构成颧弓上缘。

(4)舌下缘:构成颧弓下缘的一部分,厚而粗糙。

(5)舌内侧缘:呈锯齿状,构成眶外下壁。

(二)颧骨的结构特点

颧骨与上颌骨的连接处宽,强度较大,形成对面中部的支持作用。与蝶骨的连接处较薄弱,与额骨连接处的强度介于上两者之间,而与颞骨额突的连接为薄弱。颧骨本身比较坚实,骨折较少发生在颧骨体,但与颧骨、额骨及上颌骨相连接的突起,受伤时易造成骨折。颧骨骨折时,骨折线 常发生在颧弓、眶外缘、眶下缘、眶底和上领突窦前外侧壁,额面部严重损伤时常发生颧骨与上颌 骨复合性骨折,甚至波及颅底。

由于颧骨有强大的咀嚼肌附着,因此颧骨、颧弓截骨术后如固定不当,或咬肌过早地进行咀嚼运动可以使截断的骨块下移,导致面中下部软组织松垂。

二、颧骨颧弓肥大分型

(一)、1991年Uhm等将颧骨颧弓肥大分为以下三种。

1、真性肥大:除颧骨颧弓复合体肥大外,患者脸型为“椭圆形”或“圆形”。

2、假性肥大:颧骨颧弓复合体正常,但颞部、颊部凹陷。

3、混合性肥大:即颧骨颧弓复合体肥大伴颞、颊部凹陷。

(二)、Yang等在1992年根据手术需要提出了新的分类方法。

1、颧骨体肥大。

2、颧骨体及颧弓肥大。

3、颧骨体颧弓及颧骨额突肥大。

并进一步将颧弓肥大分为轻度颧弓突出伴或不伴有长面畸形、中度颧弓突出、重度的颧弓突出伴或不伴有宽或短面畸形。

(三)、2003年Lee等根据颧骨颧弓降低术的果,从临床角度把颧骨颧弓肥大分为3类。

1、脸型为偏长的“卵圆形”,颧部复合体肥大,颅型为相对的长头型,此类进行颧骨颧弓整复术果好。

2、脸型为“圆形”,颧部复合体肥大,颅型为相对的中头型,颧骨颧弓降低术果一般。

3、脸型为“方脸”,颧部复合体和下颌角均肥大,颅型为短头型,颧骨颧弓降低术和下颌角肥大整形术需要同时做。

(四)、我们在手术前需要结合前两种分类方法进行,可将其分为“三型三亚型”。

1、三型为:

①真性肥大,

②假性肥大,

③混合性肥大;

2、其中真性肥大又可分为3种亚型:

①颧骨体突出,

②颧骨体相对正常而颧弓突出,

③颧骨体及颧弓均突出。

由于类型上的不同,调节措施不同,因此鉴别分型及亚型重要。

三、手术设计

(一)、调节方式选择

为了获得理想的美容果,将颧部整形与面部其他器官的美容作为一个整体考虑很有必要,根据颧骨复合体肥大分型,颧骨复合体手术方式如下:

1、真性肥大颧骨复合体缩小术。

2、假性肥大颞部、颊部充填术,仅行颧骨复合体缩小术非但不能取得理想果,反而使面型趋长。

3、混合性肥大颧骨合体缩小术联合颞部、颊部充填术。

(二)、手术入路

1、口内入路

2、口外入路

①冠状切口

②颞部切口

③耳前切口

3、微切口入路

①口内微切口

②口外微切口

以及根据具体情况结合两种或两种以上入路。

口外切口如颞部切口、冠状切口一般用于一定岁数以上的患者,患者术前存在面部皮肤松弛,可以同时做面部皮肤提紧术,头皮冠状路径可以完全显露颧骨及颧弓,而且在直视下截骨、转位及固定,但是会留有较长的手术瘢痕。

对于皮肤不松的年轻患者,一般采用口内切口,可减小手术创伤,避免头皮瘢痕,缺点是术野狭小,截骨和固定操作难度较大,另外颧骨复合体肥大者,颧弓突出所致的中面宽过大很常见,而口内路径手术范围很难达到倾弓而获得理想果,并且过多的剥离颧骨颧弓会导致软组织下垂。

口内切口经常辅以耳前小切口,在辅助显露颧骨颧弓手术方面有相当的便利之处,缺点是耳前切口可能损伤面神经额支。

耳后切口切口较隐蔽,截骨线与切口平行截骨较容易,方法易掌握,但术后耳后可遗留瘢痕。

(三)颧骨复合体缩小术手术方法

1、颧骨磨削整形术。该方法由Whitaker(1982年),Onizuka(1983年)首先报道,通过口内切口以骨锉锉除突出部位,或骨凿通过截骨线来凿除突出的骨性部分。手术简单易行。但该法于降低颧骨突度,无法对颧弓进行有磨削,不能解决颧弓宽大的问题,而且两侧难以对称性。因此临床上很少采用。

2、颧骨颧弓复合体缩小术。通过颧骨体和(或)颧弓根部的截骨,将颧骨颧弓复合体在三维空间上进行移位,对颧骨和颧弓肥大均可以矫正。根据颧骨复合体真性肥大的三个亚型,需要选择不同的截骨方式。

图 / 颧骨和颧弓的区别

(1)颧骨体肥大为主型:颧弓根青枝骨折,颧骨体直线截骨或L形截骨内推。口内切口,去除部分颧骨体,一般需要钛板或者钢丝固定。

图 / 截骨示意图

(2)颧弓肥大型:颧骨体青枝骨折,或者截断而不去骨,颧号根截骨内推。一般采用口内切口联合鬓角小切口,剥离范围小,无需固定。还可以在内镜下,颞部小切口,分別进行颧骨体和颧弓截骨。

(3)颧骨体和颧弓肥大型:颧骨体和颧弓根部均截断后内上移位。采用口内及耳前切口,颧骨体需要固定,颧弓可以固定。

(四)辅助手术

颧骨颧弓复合体手术去除突出部分的颧骨或颧弓,脸型得到改良。但改脸型手术需要对脸型进行整体考虑。颧骨过高且双侧下颌角肥大者,行颧部缩小术后,可使下颌肥大更加。同时去除下颌角,才能获得良好的颧部整形果。双侧颞部凹陷者,致颧部突出更加,颧骨缩小术后,可使颞部凹陷得到改良,而过于凹陷者,颧部缩小果稍差,可同时进行颞部填充。

四、微创法颧骨降低

其实传统的颧弓内推手术用在美容方面是不推荐的,其实风险很大,骨头很有可能会长不上,如果愈合不上,那么你终身一辈子就要靠小小的一颗钛钉来固定。现在有很多医生也预料到这个风险,所以采用“折枝”叠加的方式来做颧骨缩小手术,但是这个果却很小,导致很多人做了脸型手术会说:我发现改变并不大!

我的建议是颧骨颧弓内侧截骨降低(又称微创法颧骨降低,此类也是临床上推广的手术方法):因为研究发现,对于面中1/3宽大的东方人而言,90%以上是侧面宽大(颧弓宽大),而非正面高(高颧骨)。而面部正面的高点也是颧骨的高点,面颊部,尤其是鼻唇沟区软组织的肌肉附着于颧骨上方。如果手术时把颧骨上肌肉的附着点破坏了(磨削法),画部软组织失去了支撑,必然导致面颊下垂、鼻唇沟加深;并且颧骨高点磨低后,面部正面变得扁平,缺乏立体感,所以在颧骨降低时应该侧重于外下侧,保留前上方不作磨削。颧弓位于颧骨的后侧面,骨质总厚约3mm,在颧骨颧弓的下方和后方附着咬肌的起点。手术时骨膜及肌肉附着处剥离过多,颧骨、颧弓磨削过度,术后固定不佳均可导致面部软组织下垂。

微创法颧骨颧弓降低术就是截断颧弓的内侧骨皮质达颧骨颧弓全厚的2/3,而后在颧骨颧弓表面略施按压即可对另一侧形成青枝骨折(颧骨手术,游离的颧弓向内侧推,推多少不能准确测量,估摸着推的,推的严重点就有可能卡住喙突,导致张口受限。不是术者不想量,是没有一个科学、准确的测量办法。颧上颌缝附近的截骨面能对上,以后能愈合,这个就不用再说了。颧弓根部的截骨少量内推时,内推范围不超过颧弓根截面,还是能接上茬,以后或许能骨性愈合。推大了,就是不相接的两个游离骨断端,没愈合的可能,仅靠钛板固定。这样就存在一个严重的隐患,强大的咬肌是作用在颧弓上的,单靠一块迷你板固定,如履薄冰,哪天出了问题一点也不奇怪。钛钉在力的作用下压迫骨质则会造成吸收,总体的结果就是颧骨的向下移位,几乎是肯定的。 所以有部分医生颧弓根不做截骨,做成青枝骨折状。这样内推的果差点,但将来还是骨性愈合的。),然后使颧弓内收。

通过下面三个方面来达到稳定的术后果:

1、损伤小,不做大范围的剥离。由于尽可能保持了表面骨膜的完整性,对外侧颧弓的下陷起到预防作用。

2、截骨线细窄,颧弓内收时两断骨面能贴合,也可以防止颧弓下陷。

3、只做单侧的离断,另一侧只形成青枝骨折,了颧弓不会上下移位。

图 / 颌面微创动力系统中的锯片及磨头

所有大家也了解,很多人做了磨骨手术后面部下垂严重。此手术也是有此避免,其原理:中面部骨性宽大的处理,主要是内收颧弓,其次是适量降低颧骨。

颧骨的内收日前有两种方法:

1、截断颧骨颧弓交界处,再凿断或锯开颧弓的远侧,然后内收颧弓并固定,可以用钛板,也可以用线固定;

2、只截断颧骨颧弓交界处,但不切断颧弓的远侧,仅将内侧骨皮质截断,而后强力压迫颧弓形成的支撑骨折使之内收,并通过钛板固定。

图 / 颧骨内收

对于固定,如果不做大范围软组织剥离,并且颧弓远侧也是断开呈游离状态时,可以通过3-0可吸收线,将游离端颧弓前下方骨膜及剥离后呈游离状态的咬肌多层缝合,然后牵拉向上内方与颧骨或骨膜肌肉做固定,即可达到稳定的固定果,同时可以防止软组织下垂。也就是说直线截骨时,即使不用钛板而只用缝线固定也一样能达良好的稳定果,说明颧骨颧弓离断时只要不做大范围的剥离,漆组织以为较小,对于固定的要求不会很高,后期周围组织对骨的固定影响也比较小

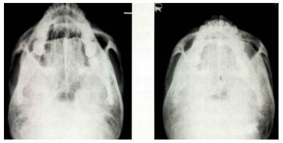
这个手术方法创伤比较小,恢复比较快。术后三个月内注意不要强力压迫颧弓处,手术果,X线片也显示颧弓内收的果显著▼

图 / 微创法颧弓内推手术的X线片术前、术后的果比较

不过此类手术由于技术要求比较高,在不熟练的情况下有可能出现两种情况:

肿胀:主要原因是术者对器械不熟悉所致,由于此动力系统中有冲洗与负压两套装置,如果冲洗液压力过大,就会引起组织的肿胀;如果负压吸引过大也会引起周边组织的损伤。另外一个原因就是手术操作不熟练,对组织的创伤大,导致血肿等。

截骨处凹陷:这是微创法手术有可能出现的并发症,其产生的原因主要有以下几个方面:剥离范围大,尤其对断骨处浅层骨膜的损伤大,导致断骨后两边骨膜已完全离断,失去了对游离颧弓的下陷限制及连接作用;不熟练或锯片不利而反复锯骨,致断端缝隙过大,颧弓内收时两断端不能连接;截骨断面的角度过度侧斜,超过90”,导致断骨后外侧颧弓很容易陷落人颧骨的深面;后期绷带过紧或强力压迫所致。

四、和磨骨区别在哪里:

截骨降低类:对截骨区域的剥离范围较小,颧骨颧弓可使用。

磨骨降低类:磨骨比截骨对设备的要求比较简单,磨骨只需要磨钻就可以进行手术,但是磨骨的剥离范围比较大(容易导致面部下垂),磨骨对颧弓宽大的患者应用却很有限,因为颧弓中段比较薄,磨骨少了对缩窄的果不,磨骨多了可能形成骨缺损。

获取更多整形知识、案例分享可以关注我同名公众号

拓展知识:额骨整形多少钱

还有其他疑惑?想了解更多?可以点击 【在线咨询】