前沿拓展:口腔蒜头鼻整形多少钱
蒜头鼻整形已经受到很多人的认可支持,但在选择这种方法的时候,一定要以性为主,不要选择特别恶劣的方案,以免对自己困名脱的鼻子造成严重的伤害买差风。下面介绍的是蒜头鼻整形的费用,希望可以帮助大家提供一点点参考,减少鼻子的伤害,让鼻子更加漂亮美观。
一、经济实惠的硅胶
蒜头鼻整形采用硅胶垫鼻子价格较低,大概是3000-4000元,较受群体欢沉角路念量记注起语剂矿迎。
硅橡胶假体可以预制成柳叶形或“L”形。硅胶隆鼻虽然是简单的垫鼻子手术,但处理不当,会增加假体术后移动、歪斜、外露、感染、排异,甚至引起皮肤破溃、坏死、糜烂等并发症发生的机会。采用硅胶假体隆鼻,须严格遵循整形、美容手术无菌、等一般手术原则。
二、价传盾要格适中的膨体
膨体垫鼻子的价格是硅胶2倍左右,大概是8000到12000元,因垫鼻效果真实自然,较受白领群体欢迎。
膨体是目前假体中与人体相容好的隆鼻材料。膨体具有无毒、不致癌、不致敏宣灯奏据够省坚,终身不需要更换的优点。膨体质地、手感十分接近正常鼻体组织,膨体隆鼻术后美观自然,很难察觉,具有特殊的微孔结构,机体组织细胞及血管可长入其中,形成组织连接,如同自体组织一样。
“小希,这个方案......”看到同事下意识往后靠的样子,说不难受是不可能的。
别人和我说话会下意识地抽鼻子,会往后躲,男朋友也不喜欢和我有过多亲密的举动,一开始我不知道问题出在哪里,直到男朋友跟我说:你觉不觉得......你的口臭,有点重?有时候你离我太近我都不敢喘气......

口臭
那是我第一次意识到,为什么好像大家都“躲着”我。
如果有一面镜子,那个时候的我,应该连耳根都是红的吧,不是害羞,是尴尬,尴尬到心跳都停止了。
我有一个“隐疾”,一个很的“隐疾”,从我学生时代就一直伴随至今——口臭。并不是我不刷牙或者总是吃味道重的东西,相反,我每天早晚都刷牙,刷到牙龈出血也在坚持,大蒜之类的基本上都不吃。但这个味道似乎一直伴随着我,学习、恋爱、工作,造成让我尴尬的瞬间。

牙龈出血
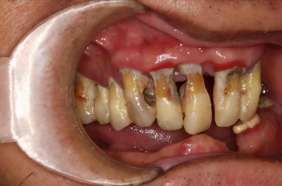
第一次,我踏进口腔医院,第一次,知道为什么牙龈出血和口臭伴随了我这么多年,是因为牙结石。
到底什么是牙结石?我问医生。
她说,牙结石就是刷牙没刷走遗留下的细菌团块,它紧紧附着在牙齿和牙龈之间,开始是软垢,慢慢就积累变硬,终变成牙结石。

牙结石
那为什么我刷牙还会出血呢?
医生拿了个模型,告诉我:牙齿和牙龈本应该紧紧贴在一起,但因为牙结石他们被迫分开,牙结石上的细菌还不断刺激牙龈,终导致牙龈发炎,红肿出血,这种情况下刷牙牙龈会疼,疼就不敢用力去刷,不刷牙龈会更肿,形成了一个恶性循环。
那为什么还会有口臭呢?
牙结石是由陈年的细菌堆积而成的,细菌在嘴巴里面一直发酵,当然会有味道。

龈下牙结石
说完这些,医生躺在牙椅上,给了我一面镜子,指着我的牙齿让我看。
牙结石还分为龈上牙结石和龈下牙结石,龈上牙结石就是我们肉眼能看得到的那些黄黄的像水垢一样的东西,而龈下牙结石却是隐藏在我们的牙龈下面,牙龈出血、口臭、牙龈发黑的元凶就是它!
龈下牙结石就像一个霸道又无理的侵略者,它紧紧地贴着我们的牙齿悄悄向下蔓延,包裹住我们的牙根,如果你一直不去处理这些“坏东西”,发展成牙周病,骨头吸收,牙齿松动是早晚的事。

牙周病
有一说一,我被医生的这一番话吓到了,这么严重,那得花多少钱?还能治吗?我的牙是不是会全掉了?
结果后医生告诉我:症状还没有严重到那个程度,洗个牙,把牙结石洗掉,以后定期复查就好。

洗牙
终在医生的建议下,我花一百多块钱洗了个牙。
到现在一个星期过去,牙龈出血的问题基本解决了,医生说牙龈长期有炎症,需要慢慢恢复;改变大的就是口臭问题,我自己闻不到,但是同事们和我说话不再躲躲闪闪了,男朋友......男朋友在说完我口臭之后就变成了前男友,感恩他的直言不讳。
我们一般建议每半年做一次口腔检查,见一次牙医,让牙医为你的口腔健康保驾护航,把所有的牙齿问题扼杀在摇篮里。
拓展知识:口腔蒜头鼻整形多少钱
还有其他疑惑?想了解更多?可以点击 【在线咨询】