前沿拓展:医美整形牙齿多少钱
整形来自整容的项目,大体分为头面部五官的整形整容,包括双眼皮成型手术,下眼睑成型手术,整形手术,耳廓畸形整形手术,眉毛重建与整形手术等等;颅面骨的整形整容包括颅骨缺损的重建,颅骨发育畸形的矫正等等;牙齿的整形整容包括牙齿畸形与外伤肿瘤之后畸形的矫正手术;四肢的整形整容,躯干位置的的整入复色宪判王形整容包括脂肪抽吸手术,先天性畸形外伤肿瘤导致的缺损整形手术。
隐形牙套矫正已经成为时髦的网红医美产品 | https://www.dentistryiq.com
每隔一阵,我们都会发现有一些网红医美产品刷爆朋友圈。近,越来越多苦于自己牙齿不够美观,又不想去专业诊所医院的人,都选择了一款名为“自助正畸”的牙科美容产品。除开那些林林总总,合格与不合格的医美诊所不说,现在我们甚至在的某宝上就可以买到所谓的自助牙齿矫正套装:卖家提供取模型托盘、印模粉、石膏粉、量杯,买家按照操作步骤制作石膏模型,寄给卖家,一周之内就可以收到这些隐形牙套,足不出户就可以完成整个程序,花费在小几千块左右,价格比正规牙科诊所医院矫正低廉得多。

【在Direct smile club官网上,经常可以看到网红展示使用自助正畸产品前后的对比照片,但去年公司因产品质量问题遭遇多宗法律诉讼 | https://www.bbc.com/】
听起来很疯狂是不是?这个“自助正畸”项目的发明,追本溯源,来自大洋彼岸的美国。前几年隐形矫正刚刚兴起的时候,在北美有一家牙齿矫正公司叫做Direct smile club。它综合了一些牙齿矫正病例,建立了自己的数据库,他们跳过医生,直接与患者建立联系,由患者自行将牙齿模型邮寄到公司,公司会远程为客户设计牙齿矫正步骤,再将隐形牙套一起寄给患者。

因使用自助正畸产品而导致的牙齿问题,可能会严重 | www.zwivel.com
表面上,这样省去了患者来回奔波的麻烦,但整个过程中没有专业医生参与操作,全部依靠公司远程指导和患者的自行使用,中间遇到问题只能求助于客服。由于风险太大且不可控,这种做法遭到了牙科医学界的联合抵制。去年年底上市之后,这家公司的股价一直下滑,目前还是依靠网红带货勉强支撑着,不过这个在海外濒临信誉破产的山寨产品,到了国内居然摇身一变,变成了网红医美产品,这不能不令人心生警惕。
正畸调节,不止美观牙齿矫正的原理,是牙齿在外力的作用下逐渐移动。由于每个人牙根长度不一样、矫正的目的也不一样,隐形牙套加载在每个人每颗牙齿上的外力,都是经过精心计算的,需要控制在一定范围内。外力过小,牙齿不会位移,外力过大,超过自身承受能力就会产生一系列问题,比如牙齿过度松动、牙齿疼痛、牙根吸收等。
牙齿矫正,外观整齐只是目的之一,重要的是矫正过的牙齿能够正常行使功能,后达到的咬合状态。有些人在牙齿矫正之后,总是觉得吃东西嚼不烂或者脸部肌肉不舒服,往往就是由于咬合没有调整好。正畸是一个精细的过程,哪一方面差了一点就难以达到整体的和谐。


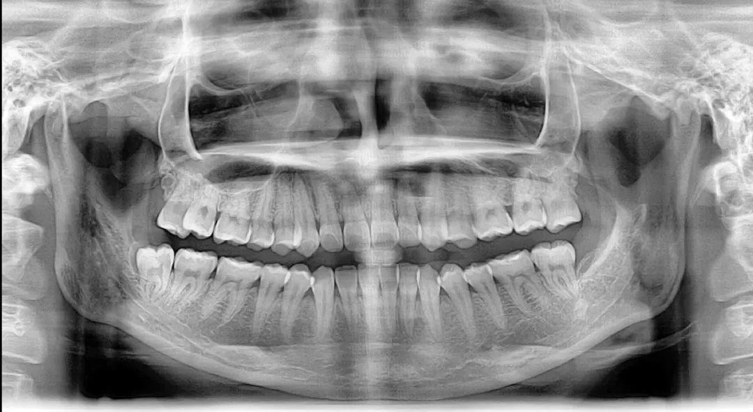
矫正前,拍摄牙齿全景片和头颅侧位X光片是必不可少的一步 | www.lovelytooth.com
那么一个正规的牙齿矫正程序应该是什么样子的呢?以我自己为例,当年为了体验一把隐形牙套这个新科技,我找到了早在国内研究隐形矫正的师姐。真正资质合格的隐形正畸操作繁琐复杂,医生首先检查了我的牙齿情况,并且发现了我早已存在,但隐匿的蛀牙,然后从前后左右上下各个角度拍摄了大约数十张牙齿以及面部的照片,详细记录了笑起来露出牙齿的程度、牙齿向外倾斜的程度、牙齿中缝是不是正好对齐、有没有脸部不对称的情况。
接下来,我拍摄了曲面断层和投影侧位片以及全口牙齿锥形束CT,用于描绘标志点进行线角的测量,后用3D扫描仪记录了牙齿的全貌,牙齿矫正的设计不仅包括表面上的牙齿排列、侧面像的协调,而且还要深入到骨骼结构、发育潜能、动静态的颌位关系。
经过几天等待,主治医生才制作完成了矫正过程的动画,能够让我直观看到后的效果,再经过将近一个月的等待,我才收到了属于自己的隐形牙套。医生还进行了一通操作,在我的牙齿上粘好多小突起,帮助隐形牙套更好地发挥作用,整个过程大约历时两年多,期间每半年复诊一次。
贪小便宜吃大亏目前国内的自助正畸品牌,在社交网络上的推广可谓铺天盖地。广告里显示的患者术前术后照片对比,表面上看都,貌似牙齿都已经排列整齐,让患者能够露出的笑容。但是,由于没有专业医生的临床检查,患者牙齿与脸型的协调性往往就很难以统一。

网上购买的自助正畸套装,经常过分突出价格优势与便利性 | https://www.ezsmile.com.au
专业牙科医生会告诉你,对于牙齿外突的病例,要根据X线片和侧面型来决定方案,仅仅依靠牙齿模型只能是盲目调整。如果施加外力的方向没有把控好,本该向某个方向走的牙齿,就会向相反的方向移动,满口牙齿歪七扭八,很难再重新恢复。我就曾经遇到过一些前来求助,试图“亡羊补牢”的患者,他们在早先进行的不正规调节过程中,出现了牙齿摇摇欲坠甚至牙根都露在外面的情况 。
正规的矫正过程中,医生会在牙齿表面粘接加固附件,没有这一零件,牙齿很难按照理想的方向移动。隐形牙套并不是像助听器之类的医疗器械一样,收到产品就完成了整个医疗程序,收到牙套才是牙齿矫正的第一步。牙齿矫正是一个为期数年的医疗过程,有专门的医生对你全程负责,不断对方案进行微调,这才能达到一个受益一生的效果。
仔细研究一下某宝上涉足自助正畸的卖家,他们不仅涉足牙齿矫正套装,甚至还提供DIY补牙、DIY做假牙、DIY牙齿漂白等服务培训。之所以出现这种乱象,一个原因就是口腔调节相对繁琐,很多项目医保不能覆盖,这给了黑心商家可乘之机。如果将正规的补牙材料比做工业混凝土,那么DIY补牙套装里提供的是原始的陶土,医生使用的是专业挖掘机,DIY套装里的是手铲和凿子,这些以廉价和方便为卖点的调节方案,往往不能解决蛀牙问题,反而在不久的将来引发剧烈牙痛。所以说,专业的事情还是需要交给专业人士来做,珍爱牙齿,必须从拒绝DIY做起。
作者:李皓
编辑:朱步冲
一个AI
上次那个敢于给自己补牙的人叫憨豆先生

本文来自果壳,未经授权不得转载.
如有需要请联系sns@guokr.com
拓展知识:医美整形牙齿多少钱
还有其他疑惑?想了解更多?可以点击 【在线咨询】